유투브
블로그
트위터
... 특히 이번 3편은 시리즈에 등장했던 무장들이 대거 등장해 30명이 넘는 무장이 출연해 시리즈 최고의 볼륨을 갖추고 있다. 또한, 리얼타임 이벤트 영상과 새롭게 선보이는 전각 부스트와 고유 필살기 등의 새로운 전투 시스템으로 더욱 호쾌하고 상쾌한 일기당천의 액션을 즐길 수 있는
[] 2011-06-02 12:25:32 tester 기자
... 신티크를 비롯해 인튜어스, 뱀부 등 와콤 태블릿 유저라면 누구나 참여 가능하며, 무료로 진행된다. 교육에 참여하는 사람들에게 쇼룸에 전시되어 있는 와콤의 모든 제품을 전부 사용해 볼 수 있는 특별한 기회가 제공된다. 이번 교육 프로그램은 그 동안 제품 사용에 어려움을 겪거나
[기업] 2011-06-02 11:53:26 tester 기자
... 기존에도 인터넷 중독 예방 및 치료 센터 등 유사 기관들이 존재해 왔지만, 게임과몰입에 특화된 전문 센터 설립은 이번이 처음이다. 중앙대학교 병원 내에 설치되는 게임과몰입 상담치료센터는게임과몰입 문제를 전문적으로 상담하고 진단함과 동시에 관련된 치료 서비스를 제공한다. 또한
[기업] 2011-06-02 11:01:22 tester 기자
... 어른이 된 앨리스는 마침내 러틀리지 정신병원에서 나오지만, 11년 전 가족들을 앗아간 끔찍한 화재의 공포와 살아남은 자로서의 죄책감은 여전히 그녀를 괴롭힌다. 앨리스는 자신의 과거에 대한 진실을 찾기 위해 현실감 넘치는 빅토리아 시대 런던과 아름다우면서도 무서운 이상한 나라를
[] 2011-06-02 10:46:49 tester 기자
... 이번 공모전은 장르의 다양성 확보를 위해 게임 시나리오 부문 장편과 단편으로 나뉘어 공모한다. 장편부문은 MMORPG 게임에 응용 가능한 게임의 세계관, 스토리, 세력설정 등 소설 형식의 창의적인 창작 게임 시나리오를 공모하며, 단편부문은 게임 흥행요소에 장편의 시나리오가 필
[게임동향] 2011-06-02 10:44:41 tester 기자
... 남궁 대표는 NHN 한게임에서 게임 사업 부문을 총괄했고 NHN USA의 대표를 거쳐 지난 2009년 12월 CJ인터넷의 대표(CJ그룹 부사장 대우)로 부임했다. 그는 부임 직후 약 10억 원가량의 자사주를 매입하며 책임 경영의 의지를 보인 뒤한게임 출신의 인력을대거 영
[기업] 2011-06-02 09:58:23 tester 기자
... 1일 목동 곰TV스튜디오에서 열린 'LG시네마3D 슈퍼토너먼트' 32강 첫 날 경기에서 '마왕' 임재덕(IM) 선수와 '황태자' 문성원, '견제의달인' 김동주, '스나이퍼' 김동원(슬레이어스)이 각각 최지성(스타테일), 김영진(oGs), 정종현(IM), 김동환(MVP)을 각각
[e스포츠] 2011-06-02 02:12:36 tester 기자
..."IM의 마지막 희망 임재덕, 이것이 '마왕'이다" 저그 종족 최초 개인리그 2회 우승을 달성한임재덕(IM)과 코드A를 휩쓸고 우승을 차지 후 코드S로 승격된최지성(스타테일)이 맞붙어 팬들의 관심을 모았던32강 경기에서 임재덕이 특유의 판단력과 컨트롤을 선보이며 16강에 진출했다
[e스포츠] 2011-06-01 23:33:06 tester 기자
... 2세트, 김동환은 초반 대군주가 해병 1기에 잡히며 불리한 출발을 보였으나 이후 뮤탈리스크와 맹독충, 저글링으로 김동원의 풍부한 광물지대 멀티를 두 번 연속 파괴하며 1대 1동점을 만들어 냈다. 마지막 3세트에서 두 선수는 서로 탐색을 하며 병력을 모았다. 김동원은 공선전
[e스포츠] 2011-06-01 22:27:12 tester 기자
... 자원력에서 앞선 김영진은 뒤늦게 멀티를 따라가는 문성원의 병력들을 잡아내고 기선을 제압했다. 2세트에서 문성원은 초반 김영진의 화염차 드랍에 피해를 입으며 위험한 상황을 맞았으나 밴시 견제를 통해 승부의 추를 평행하게 맞추었다. 이후 센터 멀티를 확보하고 상대의 5시멀티를
[e스포츠] 2011-06-01 21:04:28 tester 기자
... 새로운 무인의 탄생을 위해 4명의 무인이 희생하는 사악한 무공으로 알려져 정파에서는 사용을 꺼렸지만 뛰어난 효과에 재차 사신합일을 시작하게 됐다는 설정이라고 회사 측은 설명했다. 반드시 4명의 예비 각주가 있어야만 조합이 가능하며 각주의 등급에 따라 자원소모량도 변한다.
[] 2011-06-01 20:04:01 tester 기자
... ▲ '정종왕' 정종현을 꺾고 16강에 선착한 김동주 선수 1일, 목동 곰TV스튜디오에서 진행된 ' LG시네마3D 슈퍼토너먼트' 32강 1일 차 1경기에서 김동주가 2대1로 역전에 성공하며 16강에 진출했다. 1세트 김동주는 빠른 밴시부터 화염차 의료선으로 이어지는 견
[e스포츠] 2011-06-01 19:36:13 tester 기자
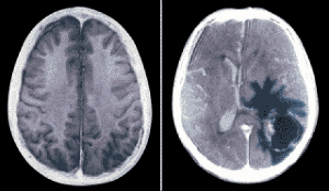
... 14개국 31명의 전문가로 구성된 IARC 실무 그룹은 가능한 모든 과학적 증거를 검토한 결과 휴대전화 사용은 암을 유발할 수 있는 경우로 분류돼야 한다고 말했다. IARC 전문가들이 휴대전화 사용을 발암 가능성이 있는 경우로 분류하게 되면 WHO는 휴대전화 이용 가이드라
[] 2011-06-01 19:11:19 tester 기자
... 또한 액티브 PFC, EMI 필터 등 기본 필수 요소들을 모두 갖추고 있다. 일반 팬 대비 쿨링 효과가 20% 이상 뛰어난 135mm 골프팬을 장착함과 동시에 케이스에 장착되는 일반 DC팬의 컨트롤러를 채용해 온도에 따라 팬 속도를 조절해주어 전력낭비는 물론 무소음 시스템을
[기업] 2011-06-01 19:00:33 tester 기자
...엔씨소프트(대표 김택진)의 '리니지2'가 파멸의 여신 업데이트를 미리 체험해 볼 수 있는 2차 테스트 서버를 1일부터 15일까지 무료 오픈한다고 밝혔다. 이번 테스트서버 운영은 엔씨소프트 최초 무료로 운영되며, 지난 5월에 일주일간 진행되었던 1차 테스트 서버에서는 타서버 대비
[게임동향] 2011-06-01 18:54:18 tester 기자
...인플레이인터렉티브(대표 이창성)는 한국 마이크로소프트, 테이크투인터랙티브와 함께 지난 4월 1일부터 시작한 'MLB 2K11 XBOX LIVE 컨테스트' 의 한국 우승자를 1일 발표했다. 이번 컨테스트 한국 우승자는 서울의 이경노(라이브태그: idaero)씨로 지난 3월 8일부
[게임동향] 2011-06-01 18:48:13 tester 기자
... 이번 예약판매는 14일까지 GS이숍에서 진행되며 예약 구매자에게는 벤큐가 후원하고 있는 '스타크래프트2' 게임단 스타테일 소속 선수인'레인보우' 김성제와 '투신' 박성준의 친필 싸인 마우스패드를 선물로 제공한다. 판매가는 47만9000원으로 신용카드 결제에 한해 12개월
[기업] 2011-06-01 18:37:50 tester 기자
... 전사계열과 마법사계열, 궁수계열 개편을 골자로로 진행된 이번 업데이트는 여름방학을 앞둔 '메이플'이 보다 강력한 한방을 위해 준비한 초석이다. 지난 해 여름, 빅뱅 업데이트로 흥행대박을 기록한 당시 상황과 비슷한 형세인 점프 업데이트는 넥슨가의 비전서에 나와있는 필수 전략
[게임동향] 2011-06-01 18:36:20 tester 기자
...블리자드 엔터테인먼트는 자사가 서비스하는 MMORPG '월드오브워크래프트'의 게임 내 신규 탈것 날개 달린 수호자를 1일부터 블리자드 온라인 스토어에서 판매한다. 신규 탈것 날개 달린 수호자는 독수리 날개를 지닌 사자의 모양을 한 비행 탈것으로 아제로스의 가장 오랜 비밀들을 지키고
[] 2011-06-01 18:03:59 tester 기자
... 7인치 멀티 터치 스크린을 장착한 Eee 패드 메모 3D는 스타일러스를 활용해 노트를 하거나 필기, 묘사에 특화된 기존의 Eee 패드 메모에서 무안경식 3D 디스플레이 모드를 추가 탑재해 3D 영화 및 콘텐츠 등 엔터테인먼트 기능을 더욱 활성화 시켰다. 또한, 안드로이드
[기업] 2011-06-01 17:42:04 tester 기자